ООО "Селин Медикал Групп"
123056, Россия, Москва, Большой Кондратьевский пер., д. 7, м. Белорусская
Услуги
Пластическая хирургия
Косметология
Стоматология
Общая медицина
Диагностика
Ляхов Сергей Владимирович
Врач стоматолог-ортопед
гнатолог
Seline Clinic
Ляхов Сергей Владимирович
5

Ляхов Сергей Владимирович

Специальность
Врач стоматолог-ортопед, гнатолог
Опыт работы
26 лет
Образование
1994 г. - Московское медицинское училище № 1. Специальность: «Стоматология ортопедическая» Зубной техник.
2008 г. - Московский Государственный Медико-стоматологический университет. Врач — стоматолог.
2009 г. - Интернатура.
2010 г. - РУДН профессиональная переподготовка, ортопедический сертификат.
Принимает
Москва, Большой Кондратьевский пер., д. 7
Белорусская
Выберите день
Выберите время
О враче

Ляхов Сергей Владимирович — врач стоматолог-ортопед, гнатолог.


Сергей Владимирович специализируется на лечении патологии височно-нижнечелюстного сустава и восстановлении целостности зубного ряда. Он помогает пациентам любого возраста, решая самые разные стоматологические проблемы, начиная от потери зубов и заканчивая аномалиями прикуса.


Каждый пациент получает индивидуальный план лечения, а команда профессионалов обеспечит тщательный подход на всех этапах — от диагностики до восстановления. В своей практике Сергей Владимирович сочетает высокие профессиональные навыки с использованием самых современных технологий для создания красивой и здоровой улыбки.



Перечень манипуляций

  • Первичные консультации по данным фотопротокола и КТ с составлением комплексных планов лечения.
  • Эстетическая реконструкция зубов любой сложности, в том числе протезирование одиночными керамическими реставрациями: коронки/виниры E.Max, керамические вкладки, накладки, коронки на циркониевых основаниях, металлокерамические коронки.
  • Wax-up, mok-up, препарирование через mom-up: виниры, цельнокерамические реставрации.
  • Восстановление зубных рядов при частичном и полном отсутствии зубов, в том числе съемное протезирование с опорой на дентальные имплантаты.
  • Протезирование с использованием дентальных имплантов.
  • Протезирование с использованием частично-съемных протезов (бюгельные и пластиночные протезы).
  • Функциональный анализ зубочелюстной системы в артикуляторе.
  • Миниинвазивный подход к лечению, с использованием бинокуляров.
  • Восстановление функциональных параметров височно-нижнечелюстного сустава.
Курсы повышения квалификации
  • 2010 г. Адгезивные керамические реставрации.
  • 2012 г. MosExpo Dental Конгресс по ортопедической стоматологии. Проф. Мартин Франк.
  • 2012 г. 5-я Международная конференция : «Физиологические аспекты диагностики и реабилитации кранио-мандибулярной дисфункции.
  • 2013 г. 1-й международный конгресс имплантологов.
  • 2014 г. 2- й международный конгресс имплантологов, Проведение мастер классов.
  • 2015 г. Эстетические реставрации в переднем отделе. Паскаль Манье.
  • 2017 г. 10-й международный конгресс имплантологов.
  • 2017 г. 4-х модульный практический курс : «Функциональный анализ зубочелюстной системы. Проф. М. Антоник.
  • 2017 г. Международный симпозиум Квинтэссенции по эстетике.
  • 2018 г. Функциональные принципы стабильной окклюзии. Клейтон Чен.
  • 2017 г. Шинотерапия в стоматологии «Институт биотехнологий и междисциплинарной стоматологии». Сойхер М.Г.
  • 2018 г. Фундаментальные принципы стабильной окклюзии. Клейтон Чен.
  • 2019 г. Протоколы эстетической реабилитации от одиночной имплантации к тотальной. Максим Леснухин.
  • 2019 г. Evolution, Ермаков А. С.

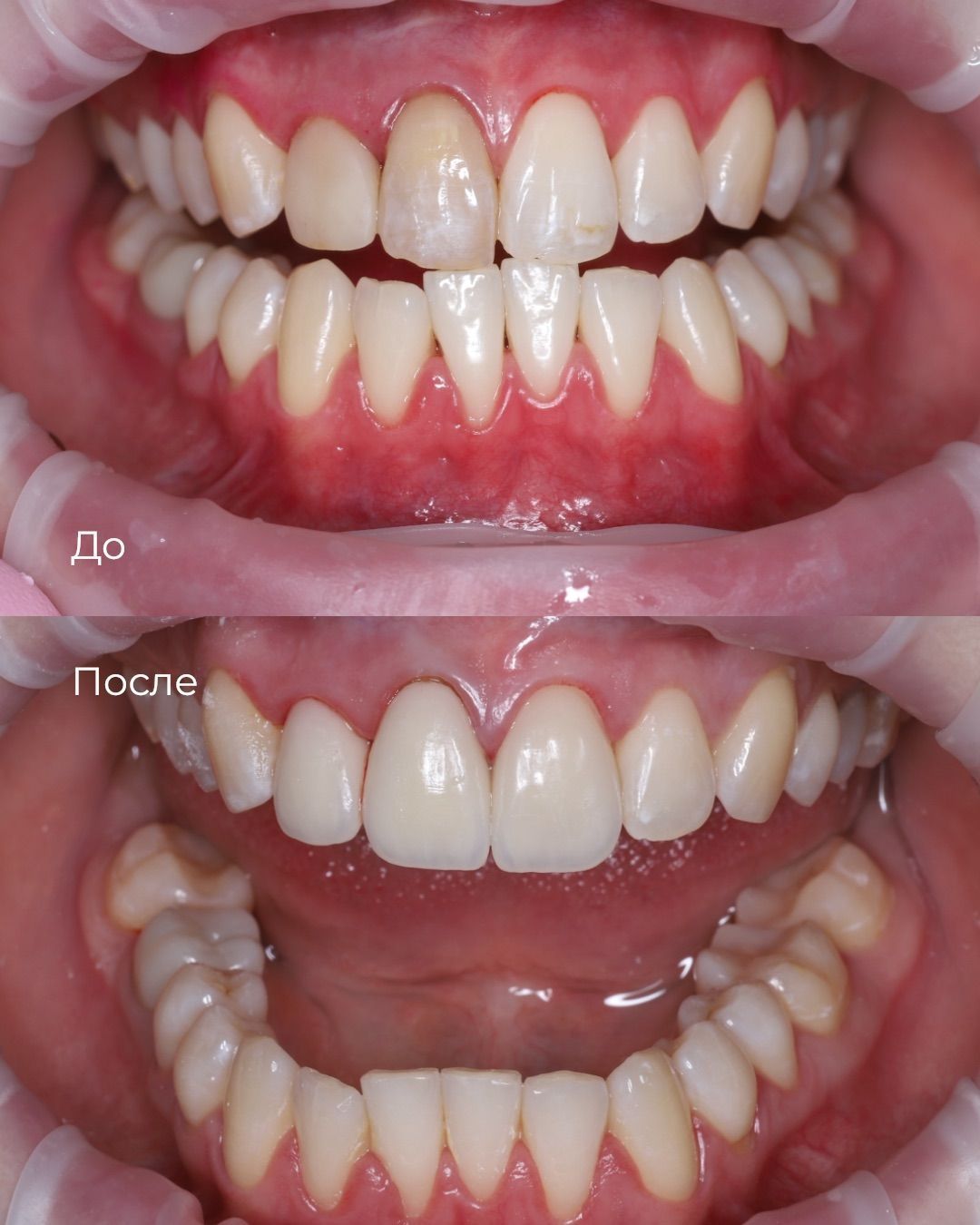
Фото до/после специалиста: Ляхов Сергей Владимирович

До
После
Установка керамических виниров. Врач стоматолог-ортопед, гнатолог Ляхов Сергей Владимирович
До
После
Установка керамических виниров. Врач стоматолог-ортопед, гнатолог Ляхов Сергей Владимирович
До
После
Замена металлокерамики на коронки E-max. Врач стоматолог-ортопед, гнатолог Ляхов Сергей Владимирович
До
После
Cплинт-терапия для стабилизации ВНЧС и восстановления физиологического положения челюсти. Врач стоматолог-ортопед, гнатолог Ляхов Сергей Владимирович
До
После
Установка индивидуальных керамических виниров с учётом жевательной динамики и анатомии. Врач стоматолог-ортопед, гнатолог Ляхов Сергей Владимирович
До
После
Фото до/после установки керамических виниров - стоматолог Ляхов С.В.
До
После
Установка виниров и тонкостенных керамических коронок. Ляхов С.В.
До
После
Установка виниров E.max. Ляхов С.В.
До
После
Установка виниров E.max. Ляхов С.В.
До
После
Ортодонтия. Ляхов С.В.
До
После
Ортодонтия. Ляхов С.В.
До
После
Протезирование. Ляхов С.В.
До
После
Ортодонтия. Ляхов С.В.
До
После
Ортодонтия. Ляхов С.В.

Лицензии и сертификаты


Seline Clinic в интернете

Акции

Seline Clinic в Москве

Звезды в Seline Clinic

Старшенбаум Анна
Теперь я знаю точно, что к выбору своего хирурга нужно подходить не менее ответственно, чем к выбору мужа. Вы должны смотреть в одну сторону, понимаю друг друга, слышать и чувствовать. Сергей Владимирович Свиридов - утончений, деликатный профессионал! С руками, как у пианиста.
Исправлять чужую работу всегда тяжелее, но Сергей Свиридов потрясающий профессионал. Теперь, я снова чувствую себя счастливым подростком с аккуратными формами, о которых всегда мечтала. Девочки и мальчики, мечтающие поправить свою фигуру в том, в чем спортивный зал не может помочь, смело обращайтесь к этому доктору в Seline Clinic. Он рисует красоту на телах и счастливые улыбки на лицах!
Старшенбаум Анна
Ксения Бородина
Известная телеведущая, актриса и звезда телепроекта «Дом-2» Ксения Бородина тоже была в гостях у Seline Clinic. Телеведущая приходила навестить свою подругу, которая сделала у нас эстетическую операцию. Мы всегда рады нашим гостям и тепло встречаем их уютной атмосферой и чашечкой ароматного кофе!
Ксения Бородина
Ляйсан Утяшева
К Татьяне Валерьевне попала несколько месяцев назад. С моим безумным графиком, перелетами и съемками нужны процедуры, которые дают моментальный эффект и не оставляют «следов». Находки этого лета – химическая биоревитализация и безинъекционная мезотерапия Dermadrop. Всего за час кожа ровная, сияющая и увлажненная, можно сразу в кадр!
Ляйсан Утяшева
Руслан Нигматуллин
Если раньше за собой следили только женщины, то сегодня уход за собой не имеет гендерной принадлежности.
В Seline Clinic много пациентов - мужчин, которые ответственно подходят к своему здоровью, уходу за зубами и к внешности в целом.
Руслан Нигматуллин
Александр Гудков
Одна из самых ярких телевизионных звёзд Александр Гудков стал гостем Seline Clinic.

Мы ценим доверие всех наших пациентов, и конечно, особенно приятно, что такие известные люди тоже выбирают качество в заботе о своём здоровье.
Александр Гудков
Ольга Орлова
Говорят, что лучшие стоматологи в Израиле), а у меня свой личный Израиль в Москве в клинике Seline.
Делюсь с Вами незаменимым контактом — свою улыбку можно смело доверить Илье Танхумовичу. Лечим зубы без боли, стресса и в очень красивой и модной клинике в городе).
Ольга Орлова
Ханна
Куда бежать за сияющей кожей? Конечно в Seline Clinic!
Сегодня попробовала новую процедуру на аппарате Dermadrop TDA, это швейцарская процедура омоложения! Эффект мгновенный и никаких следов и реабилитационного периода, можно сразу бежать на съёмку.
Цены приемлемые несмотря на уровень клиники! Девочки, там и гинеколог, и трихолог, и врач дерматолог, все в одном месте, этого очень очень не хватало!!!
Ханна
Мария Погребняк
Делюсь супер находкой!
Мы часто ходим на различные процедуры для лица, но сами не знаем нужны ли они нам! Сегодня в клинике Seline Clinic я прошла полную диагностику кожи лица! Теперь знаю, что не хватает моей коже и с чем бороться! Начинаем бороться с пигментацией и сосудами!
Мария Погребняк
Ника Вайпер
Ника Вайпер – популярный блогер, королева сторис в Instagram и просто очаровательная девушка – является частым гостем Seline Clinic! Ника очень внимательно следит за своей внешностью и в этом ей помогают наши врачи-косметологи. Самые любимые процедуры блогера – инъекционные методики и аппаратный микроигольчатый RF-лифтинг.
Ника Вайпер
Анна Семенович
Известная российская певица и актриса Анна Семенович является частым гостем Seline Clinic!
Обладательница яркой внешности прекрасно знает, что уход за ней нужно доверять высококлассным профессионалам, именно тогда он будет доставлять только удовольствие!
Уютная атмосфера клиники позволяет превратить любую процедуру в настоящий SPA-уход и добиться максимального релакса.
Анна Семенович
Анастасия Гребенкина
Прекрасный день в Seline Clinic ❤❤❤❤❤ довольна до безумия))))) сходила на массаж и к косметологу!!! В восторге!!!
Анастасия Гребенкина
Лукерья Ильяшенко
Подарки выбирать — совсем не праздник! Тем более когда речь идёт о самых дорогих и любимых людях. Тут нужно действовать по принципу: самым дорогим — всё самое лучшее! Потому, в качестве подарка своей Mаме я выбрала омолаживающую процедуру аппаратом Accent XL в лучшей клинике эстетической медицины Seline Clinic у доктора Селиверстовой Анны Валерьевны. Результат действительно бомбический, видимый сразу после процедуры! А главное — никакого реабилитационного периода! Так что видимо теперь не отвертеться мне от компании родительницы на вечеринке, потому что выглядит она отныне в точности как моя подружка!
Лукерья Ильяшенко
Виктория Романец
Сегодня я побывала в клинике израильской эстетической медицины Seline. Была поражена красотой и уютом этой клиники. В отделение косметологии мне сделали процедуру ботулинотерапию препаратом Диспорт. Многие считают, что подобные процедуры стоит делать в зрелом возрасте. Но исправлять проблемы всегда сложнее, чем предотвращать их. Этот препарат борется с любыми малейшими намеками на морщины. А благодаря своевременной заботе о молодости – гадать о моем возрасте будут еще очень долго.
Виктория Романец
Мария Цигаль
Уже традиционно, прихожу в воскресение в клинику Seline Clinic на процедуры по уходу за лицом! Очень дружественная обстановка, прекрасный сервис и вот такие ангельские крылья.
Мария Цигаль
Светлана Пермякова
Актриса Светлана Пермякова была в гостях у Seline Clinic в начале осени.

Светлана выбрала с косметологом процедуры для омоложения кожи лица. Наш доктор провёл ряд процедур, после которых актриса осталась в полном восторге.
Пермякова не исключает, что придёт время и она вернётся в Seline Clinic за помощью к нашим хирургам!

Мы всегда рады гостям и готовы гарантировать высочайшее качество процедур.
Светлана Пермякова
Анастасия Денисова
Анастасия Денисова покорила Seline Clinic с первого взгляда.
Веселая, остроумная и очень дружелюбная.
Несколько недель мы наслаждались ее присутствием в наших стенах.
Актриса выбрала курс массажа, для коррекции фигуры. Надо сказать, результат превзошёл все её ожидания.
Анастасия Денисова
Алена Блин
Известный YOUTUBE блогер и журналист Алена Блин стала гостем нашей клинки.
Алена выбрала сразу несколько процедур по уходу за собой. Нам было приятно получить отзыв от Жигаловой с оценкой 5+!
Для начала журналист побывала на профессиональной чистке полости рта у нашего стоматолога Ксении Легковой. Не скроем, что Алена была покорена качеством работы доктора.
Алена Блин
Маргарита Позоян
Маргарита Позоян
Алена Водонаева
Ведущая и блогер Алена Водонаева много лет искала клинику, чтобы найти «своего» стоматолога и решиться не только на лечение зубов, но и на установку брекетов.

Мы рады, что выбор Алены пал на Seline Clinic. По словам звезды, её покорили не только качество работы и профессионализм докторов, но и отношение и сама обстановка.

Не будем скрывать — это наша отдельная гордость. Мы всегда стараемся создать для наших пациентов идеальные условия в Seline Clinic.
Алена Водонаева
Анна Калашникова
Хочу поблагодарить Светлану Вячеславовну Гагарину за ее профессионализм! 😍 Я уже не первый раз делаю у неё различные процедуры, всегда очень довольна, мы даже проводили совместный прямой эфир... Было очень много вопросов, многие просили рассказать о ней подробнее, вот как раз-таки решила выставить пост благодарности и поделиться с вами данным контактом! ❤ Девчонки - это не реклама.☝ Записывайте контакт! 🔥 Работает Светлана Вячеславовна в клинике «Seline» @selineclinic на белорусской, делает различного рода операции и косметологические процедуры по гинекологии. 😉 Будьте внимательны к своему женскому здоровью, и знайте, что все проблемы можно решить! 💜
Анна Калашникова